
A Queensland retiree diagnosed with prostate cancer was left “shocked” when a follow-up scan revealed he also had a growth the size of an orange in his neck.
Retired carpenter Kenneth Bruce, 74, was told the mass was an enlarged thyroid gland – known as a goitre – and had been growing for more than a decade.
Because of goitre’s size and the risk that it could be cancerous, Mr Bruce was referred to leading endocrine surgeon Dr Sally Meade at Mater Private Hospital Brisbane before his prostate cancer treatment began.
“My previous thyroid function blood tests had been normal so this news came as a shock and surprise to me,” Mr Bruce said.
“Because the goitre had grown down towards my chest, it wasn’t obvious and I hadn’t noticed any side effects.”
Dr Meade confirmed that the Hervey Bay resident would need surgery via a telehealth appointment and a week later Mr Bruce arrived in Brisbane, more than 280km from home, to have half his thyroid gland removed in a hemithyroidectomy procedure.
Surgery involved making an incision about 4cm to 6cm in the centre of the neck, through which the thyroid gland was removed.
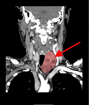
“Ken’s goitre was the size of a big orange, about 7cm, and was especially large on the left side, extending into his chest and compressing his airway,” Dr Meade said.
“The remainder of Ken’s thyroid should continue to function normally without the requirement for thyroid hormone replacement.”
Dr Meade said if left undetected or untreated, the goitre could have severely affected Mr Bruce’s breathing.
Mr Bruce said he was grateful for the care he received by Dr Meade and the medical team at Mater. He was discharged from hospital just one day after having surgery and was relieved when further tests revealed the goitre was not cancerous.
His targeted radiation treatment for prostate cancer will begin in a few weeks.
Dr Meade said most thyroid conditions can be identified via video conference because it is possible to see a patient’s neck.
“Most of the information pertaining to surgical workup of the thyroid or parathyroid is gained from imaging, biochemistry (blood tests) and pathology,” she said.
“Telehealth can enable access to specialty care from the comfort of one's own home, surrounded by family.”
Goitres affect less than four per cent of Australians.
Mr Bruce’s goitre was caused by a nodule – or lump – in his thyroid gland, but goitres can also be caused by thyroid cancer, a lack of iodine, an inflamed thyroid gland, autoimmune diseases or hormone changes in puberty, pregnancy and menopause.
Having performed thyroid surgery on Queenslanders for more than two decades, Dr Meade said there were new developments in the diagnosis of thyroid nodules to better plan the extent of surgery, and in some cases to potentially avoid surgery for patients.
Dr Meade is recommending some patients take a test called ThyroSeq v3 which involves using cells collected from a thyroid nodule to analyse DNA to help diagnose if the nodule is cancerous.
“If it comes back showing no mutations, then patients can potentially avoid surgery if there is no other indication,” Dr Meade said.
Pictured above: Dr Sally Meade.
Pictured left: A scan of Mr Bruce's goitre.



